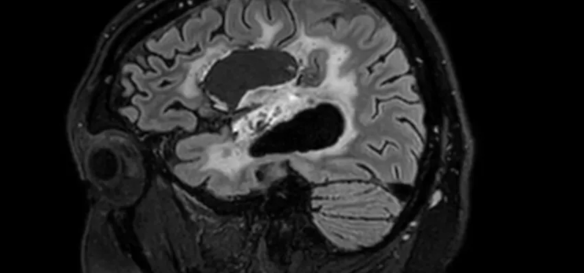
Dementia affects nearly 1 million people in the UK—stealing memories, independence, and time with loved ones. But right here in our community, Cobalt is changing that, by using advanced MRI and PET/CT scans to provide early, accurate diagnosis and also determine the effectiveness of treatment.
Categories
Beneficiaries
Dementia devastates lives—stealing memories, independence, and connections. Despite affecting nearly 1 million people in the UK, the diagnosis is often missed, and research is still underfunded. Cobalt tackles this problem with advanced brain imaging and research that leads to earlier, more accurate diagnoses and better treatments—offering families clarity, support, and hope for a different future.
Cobalt bridges the gap between diagnosis,treatment and the continued search for a cure. Using our cutting-edge MRI technology and the only PET/CT scanner in the 3 counties, we can detect dementia earlier and more accurately—especially in complex cases. Working with the NHS and researchers, we drive new clinical trials and vital discoveries. With your support, we can speed up diagnosis, unlock treatments, and train the specialists shaping the future of dementia care.



